
If it progresses too far, teeth can become loose, and you may even need to have them pulled. But after your teeth are pulled, is gum disease still a concern?
What Is Gum Disease?
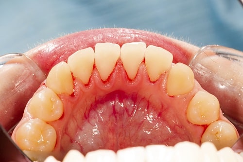
Gum disease starts out as gingivitis. At this stage, bacteria have infected your gums, causing redness and inflammation. You may notice some bleeding when you brush and floss. As it progresses, gingivitis becomes periodontitis. Bacteria have fallen below the gum line, which has pulled away from the teeth, and are attacking teeth and your jawbone.
Your gums begin to recede and your teeth become loose as the jawbone weakens. If a tooth becomes too severely infected, it may need to be pulled.
Treating Gum Disease
Just because a tooth has been removed, that doesn’t mean that your gum disease problems are over. In fact, there’s a good chance that other teeth are still at risk. This is because the bacteria don’t come out with the pulled tooth.
Plenty still remains hidden below the gum line attacking the bone and surrounding teeth. Depending upon the severity of your gum disease, you may need scaling and root planing, periodontal maintenance or even periodontal surgery.
Preventing Future Issues
Floss daily to get the hard to reach spaces between teeth and just below the gum line. An antibacterial mouthwash can also be rather useful. And don’t forget to visit your dentist at least twice a year for regular cleanings and exams.
Just because a tooth affected by gum disease is extracted does not mean that you are in the clear. Gum disease can still be a major concern. If you have any questions or concerns, contact our office today.
To learn more, give us a call at (832) 975-0990, or use our secure online appointment request form to get started with your consultation.