
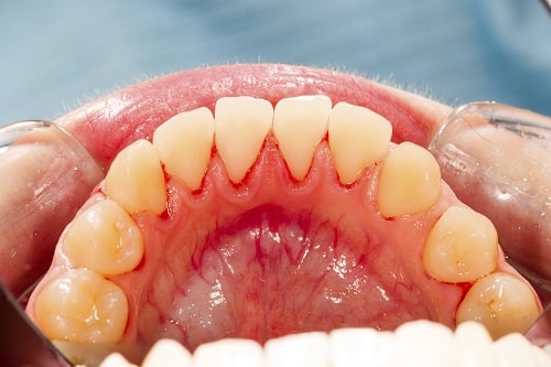
Your gums may be slightly red and inflamed, and may bleed when you brush or floss. These symptoms are often mistaken for brushing or flossing too hard. Untreated, gum disease progresses and starts to destroy tissue and bone. When this happens, the damage is irreversible.
Receding Gums
Gum disease causes inflammation of the gum tissue. It also destroys the tissue at the same time. As a result, the gums begin to recede, exposing more and more surface area of your teeth, causing sensitivity and an increased risk of tooth decay.
Periodontal Pockets
Healthy gum tissue sits snugly against your teeth. When the tissue becomes inflamed, it pulls away from the teeth, creating “pockets” that provides space for food particles and bacteria to fall into. Removing debris and bacteria becomes impossible, and the pockets only get deeper as time goes on.
Chronic Bad Breath
Bad breath can be caused by a number of different factors, but it can usually be cleared up with brushing, flossing and mouthwash. However, if food and bacteria fall below the gum line and are not removed, no amount of brushing and flossing will be able to get rid of them. Bacteria continue to reproduce and the food particles rot, resulting in chronic bad breath.
Loose Teeth
Once bacteria have begun to attack under the gums, the structures that support your teeth and keep them firmly planted in your jawbone become weak. As a result, your teeth become loose, and may even fall out.
Bite Changes
As bacteria attack your jawbone, the strength is compromised. The bone begins to degrade, which alters its shape. This ultimately results in a change in the way your teeth fit together.
If gum disease progresses too far, it becomes irreversible. However, while the effects cannot be reversed, they can be stopped. And with proper treatments, your periodontist can get rid of your gum disease and restore the health of your smile.